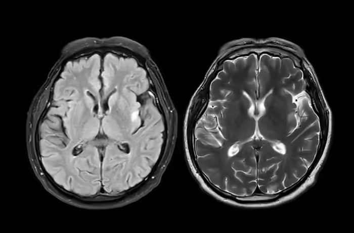
नारी डेस्क: 24 साल के आंद्रे यारहम की डिमेंशिया से मौत ने सभी को हैरान कर दिया। यह बीमारी आमतौर पर बुजुर्गों में देखी जाती है, इसलिए इतनी कम उम्र में इसकी खबर सुनकर लोग चौंक गए। आंद्रे के MRI स्कैन में पता चला कि उसका दिमाग 70 साल के बुजुर्ग जैसा हो चुका था। डॉक्टरों ने पुष्टि की कि वह फ्रंटोटेम्पोरल डिमेंशिया से पीड़ित था।
शुरुआत में गलत पहचान
आंद्रे की बीमारी शुरुआत में सही पहचान नहीं हो पाई। शुरुआती लक्षणों को देखकर डॉक्टरों ने उसे ऑटिज़्म बताया था। हालांकि, उसकी मां सैम फेयरबर्न ने देखा कि आंद्रे का व्यवहार धीरे-धीरे बदल रहा है। वह पहले की तुलना में बहुत कम बोलने लगा, किसी चीज़ में रुचि नहीं लेता था और अपनी नौकरी छोड़ने लगा। इसके बाद उन्होंने उसे विशेषज्ञ डॉक्टर के पास ले जाकर सही कारण पता किया।

MRI में हुआ चौंकाने वाला खुलासा
आंद्रे के 23वें जन्मदिन से ठीक पहले MRI किया गया। इसमें स्पष्ट हुआ कि आंद्रे को फ्रंटोटेम्पोरल डिमेंशिया है। डॉक्टरों ने बताया कि उसका दिमाग अब 70 साल के बुज़ुर्ग व्यक्ति जैसा काम कर रहा था। यह परिवार के लिए बहुत ही दुखद और चौंकाने वाला खुलासा था।
धीरे-धीरे बिगड़ती हालत
डिमेंशिया के कारण आंद्रे की हालत धीरे-धीरे बिगड़ती गई। उसने बोलने की क्षमता खो दी और उसकी देखभाल के लिए उसकी मां को अपनी नौकरी छोड़नी पड़ी। सैम फेयरबर्न पूरी तरह उसकी देखभाल करने लगीं। क्रिसमस के समय उसकी हालत और बिगड़ गई, और डॉक्टरों ने उसे एंड-ऑफ-लाइफ केयर पर रखा। उन्हें बताया गया कि उसके पास कुछ ही हफ्ते बचे हैं।
रिसर्च के लिए दिमाग दान किया गया
आंद्रे की 27 दिसंबर को नॉर्विच के प्रिसिला बेकन लॉज हॉस्पिस में मौत हो गई। उसकी मां ने उसका दिमाग कैंब्रिज के ऐडनब्रुक्स हॉस्पिटल में रिसर्च के लिए दान कर दिया। उन्होंने कहा कि अगर इससे भविष्य में किसी और परिवार को मदद मिल सके, तो यह उनके लिए बहुत बड़ी बात होगी।

ऑटिज़्म और डिमेंशिया में अंतर
ऑटिज़्म और डिमेंशिया दोनों अलग-अलग स्थितियां हैं। ऑटिज़्म आमतौर पर बचपन में (2-3 साल) दिखने लगता है और जन्मजात होता है। इसमें दिमाग का विकास अलग तरीके से होता है। डिमेंशिया आमतौर पर बुजुर्गों में होती है और यह धीरे-धीरे बढ़ने वाली बीमारी है, जिसमें समय के साथ दिमाग की क्षमता कम होती जाती है।
लक्षणों में अंतर
ऑटिज़्म में याददाश्त सामान्य रहती है और बोलने या लोगों से घुलने-मिलने में कठिनाई बचपन से शुरू हो जाती है। जबकि डिमेंशिया में शुरुआत में सब ठीक रहता है, लेकिन बाद में भूलने की समस्या, बोलने में परेशानी और व्यवहार में बदलाव आने लगते हैं। ऑटिज़्म समय के साथ सामान्य रूप से बिगड़ता नहीं, जबकि डिमेंशिया में हालत धीरे-धीरे खराब होती रहती है।
इलाज और सावधानी
दोनों स्थितियों का कोई निश्चित इलाज नहीं है। डिमेंशिया में सही समय पर पहचान और देखभाल से मरीज की जीवन गुणवत्ता को बेहतर बनाया जा सकता है। विशेषज्ञों का कहना है कि अगर किसी व्यक्ति में अचानक व्यवहार में बदलाव, याददाश्त में कमी या बोलने की समस्या दिखे, तो तुरंत डॉक्टर से सलाह लेना जरूरी है।

आंद्रे यारहम की कहानी यह सिखाती है कि डिमेंशिया केवल बुजुर्गों की बीमारी नहीं है और कम उम्र में भी इसका खतरा हो सकता है। शुरुआती लक्षणों को नजरअंदाज नहीं करना चाहिए और समय पर सही पहचान और इलाज बहुत जरूरी है।
डिस्क्लेमर: यह लेख केवल सामान्य जानकारी के लिए है। यह किसी भी दवा या इलाज का विकल्प नहीं है। सही इलाज के लिए हमेशा डॉक्टर से संपर्क करें।