नारी डेस्क: मेडिकल जगत में कई बार ऐसे चमत्कार होते हैं जो विज्ञान की सीमाओं को पार कर जाते हैं। ऐसा ही एक हैरान कर देने वाला मामला साल 2007 में सामने आया था, जब फ्रांस के 44 वर्षीय व्यक्ति के दिमाग का 90% हिस्सा खत्म हो चुका था, फिर भी वह सामान्य जीवन जी रहा था। डॉक्टरों ने जब उसका CT स्कैन देखा, तो वे भी दंग रह गए।
कैसे जिंदा था 90% दिमाग खोने वाला व्यक्ति?
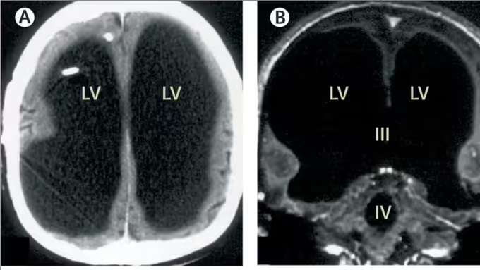
‘द लैंसेट’ में प्रकाशित इस केस रिपोर्ट के अनुसार, उस व्यक्ति के सिर में दिमाग की जगह तरल पदार्थ भरा हुआ था, और केवल एक पतली परत में ब्रेन टिश्यू बचा था। इसे हाइड्रोसेफेलस नामक स्थिति कहा जाता है, जिसमें दिमाग के अंदर तरल पदार्थ (cerebrospinal fluid) जमा हो जाता है।

इसके बावजूद वह व्यक्ति बिल्कुल सामान्य जीवन जी रहा था परिवार था, नौकरी करता था, और उसकी बोलने-समझने की क्षमता पूरी तरह ठीक थी। डॉक्टरों का कहना है कि यह दिमाग की ‘न्यूरोप्लास्टिसिटी’ का कमाल है यानी दिमाग की खुद को बदलने और फिर से व्यवस्थित करने की क्षमता।
क्या था पूरा मेडिकल इतिहास?
रिपोर्ट के अनुसार, जब वह व्यक्ति सिर्फ 6 महीने का था, तब उसे पोस्टनैटल हाइड्रोसेफेलस हुआ था, जिसके इलाज के लिए उसके सिर में शंट सर्जरी की गई थी। 14 साल की उम्र में भी उसे पैर में कमजोरी और चलने में परेशानी महसूस हुई थी, लेकिन इलाज के बाद वह पूरी तरह ठीक हो गया। बाद में 44 साल की उम्र में दोबारा पैर में कमजोरी आने पर उसका CT और MRI स्कैन किया गया, और तब पता चला कि उसका लगभग पूरा दिमाग तरल पदार्थ से भरा हुआ है।
डॉक्टरों की रिपोर्ट में क्या निकला?
डॉक्टरों के मुताबिक, उसका IQ 75 था जो औसत से थोड़ा कम है, लेकिन वह सामाजिक और मानसिक रूप से पूरी तरह सामान्य था। “यह केस दिखाता है कि इंसान का दिमाग कितनी गहराई से खुद को बदल सकता है। यह हमारी चेतना और सोचने के पुराने सिद्धांतों को चुनौती देता है।”

इलाज के बाद फिर हुआ सामान्य
इलाज के कुछ हफ्तों के अंदर ही उस व्यक्ति की हालत में बेहतर सुधार देखने को मिला। उसकी चाल सामान्य हुई, कमजोरी खत्म हुई और वह अपनी पुरानी दिनचर्या में लौट आया। डॉक्टरों का कहना था कि यह इंसान मेडिकल हिस्ट्री में एक मिसाल बन गया, क्योंकि इतना कम दिमाग बचने के बावजूद वह सामान्य सोच, भावनाओं और व्यवहार के साथ जी रहा था।
यह केस क्या सिखाता है?
इस केस से हमें दो बड़ी बातें समझने को मिलती हैं
दिमाग की अनुकूलन क्षमता (Neuroplasticity) हमारी सोच से कहीं ज्यादा मजबूत है। यानी दिमाग अपना स्ट्रक्चर बदलकर भी काम जारी रख सकता है। चेतना का संबंध दिमाग की सीखने की प्रक्रिया से है। जब तक दिमाग सीखता रहता है, तब तक वह “जागृत” रहता है।
यह मामला आज भी मेडिकल साइंस में एक ‘मिरेकल केस’ माना जाता है। जहां विज्ञान यह मानता है कि बिना दिमाग इंसान जीवित नहीं रह सकता, वहीं यह फ्रेंच व्यक्ति साबित करता है कि इंसान का मस्तिष्क केवल एक अंग नहीं, बल्कि एक जीवित, सीखने वाली शक्ति है।